Granada Health x Future Summit: Innovación en Salud y Sostenibilidad Futura
Investigadores de la UGR descubren un compuesto natural que podría frenar la enfermedad del hígado graso
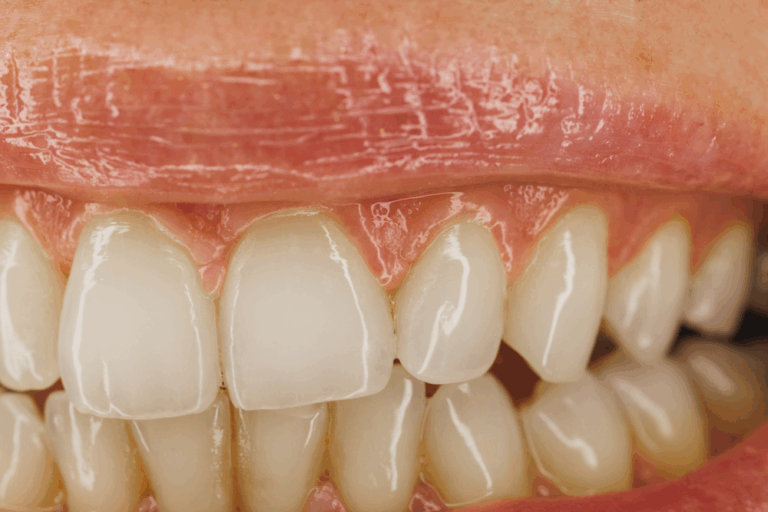
Periodontitis: Un Factor de Riesgo en el Cáncer Colorrectal
El iMUDS Organiza el Seminario ‘Del Laboratorio al Podio: La Ciencia al Servicio del Rendimiento Deportivo y la Salud’
Noticias de salud