NoticiasActualidadEl liquen plano es cancerígeno: lo que dice la investigación médica

El liquen plano es cancerígeno: lo que dice la investigación médica

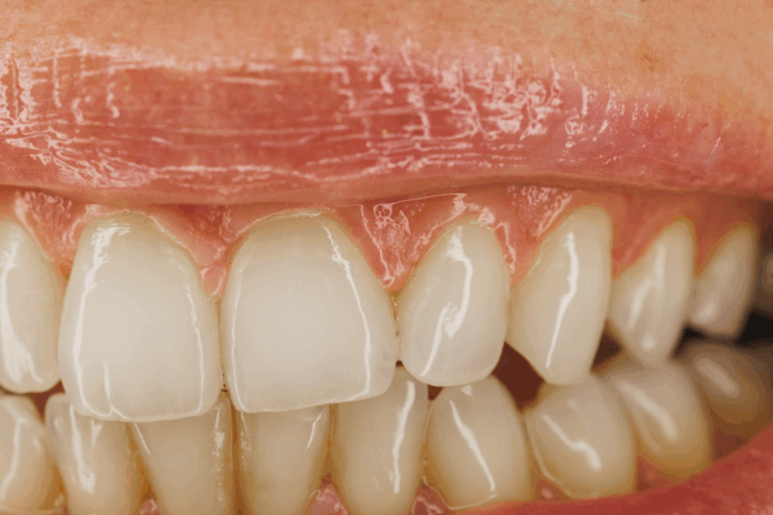
El liquen plano oral es una enfermedad inflamatoria crónica que afecta a la mucosa de la boca y, en algunos casos, a otras zonas del cuerpo. Aunque en la mayoría de pacientes se mantiene estable y no supone un riesgo inmediato, ciertos estudios han analizado su posible relación con el cáncer oral.

Las investigaciones más recientes indican que, en determinadas variantes y bajo circunstancias específicas, el liquen plano oral podría tener un pequeño potencial de transformación maligna. Por este motivo, la comunidad médica recomienda un seguimiento regular, especialmente cuando las lesiones presentan cambios visibles, molestias persistentes o no responden al tratamiento habitual.

Importancia del diagnóstico y control periódico

Un diagnóstico temprano y un control periódico son fundamentales para evaluar la evolución de la enfermedad y descartar complicaciones. Las revisiones odontológicas y médicas permiten detectar alteraciones en fases iniciales, lo que mejora las opciones de tratamiento.

En Miguel Ángel González Moles, especialista en medicina bucal, se realiza una valoración individualizada de cada caso, aplicando protocolos de control y asesoramiento para mantener la salud oral y prevenir posibles riesgos asociados.

Últimos artículos

Secciones de Salud